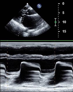
1.二尖瓣狭窄
二维超声心动图:左室长轴观及四观可见二尖瓣瓣叶回声增粗,反射增强,开放受限。二尖瓣口短轴观可见二尖瓣开放受限,瓣口变小,边缘不规整,舒张期失去正常的鱼嘴形;M型超声心动图:二尖瓣活动曲线表现为瓣叶增厚,回声增强,EF斜率减慢,A峰逐渐消失,失去双峰曲线转为“城墙样”曲线。

2.胆石症胆囊炎
胆石症的典型表现:胆囊或胆管内形态稳定的强回声团,后方伴声影,强回声团随体位改变而移动。合并急性胆囊炎时胆囊可增大,慢性胆囊炎胆囊多缩小,胆囊壁增厚,边缘毛糖,回声增强。


1.二尖瓣狭窄
二维超声心动图:左室长轴观及四观可见二尖瓣瓣叶回声增粗,反射增强,开放受限。二尖瓣口短轴观可见二尖瓣开放受限,瓣口变小,边缘不规整,舒张期失去正常的鱼嘴形;M型超声心动图:二尖瓣活动曲线表现为瓣叶增厚,回声增强,EF斜率减慢,A峰逐渐消失,失去双峰曲线转为“城墙样”曲线。

2.胆石症胆囊炎
胆石症的典型表现:胆囊或胆管内形态稳定的强回声团,后方伴声影,强回声团随体位改变而移动。合并急性胆囊炎时胆囊可增大,慢性胆囊炎胆囊多缩小,胆囊壁增厚,边缘毛糖,回声增强。
